El 21 de marzo se celebra el Día Mundial del Síndrome de Down
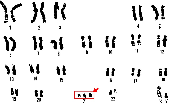
La elección de esta fecha no es al azar, si no que representa los 3 cromosomas en el par 21, ese cromosoma de más que hace que en lugar de 46 cromosomas, tengan 47.
Este cromosoma extra conlleva una exceso de información genética, y es el que hace que las personas con síndrome de Down tengan unas características peculiares, físicas, de conducta y respecto a su Salud que les son propias.
Todos conocemos algunas de ellas tales como:
RASGOS FISICOS
- Baja estatura.
- Cabello fino y lacio.
- Cabeza pequeña.
- Nariz achatada
- Ojos rasgados.
- Orejas pequeñas.
- Lengua que protuye.
- Manos pequeñas.
CONDUCTA
Aunque con variaciones, podemos destacar:
- Poca tolerancia a la frustración.
- Rigidez.
- Sociabilidad excesiva con gran extroversión.
- Apatía.
PROBLEMAS DE SALUD
- Alteraciones cardíacas: son frecuentes las cardiopatías congénitas.
- Alteraciones visuales como cataratas.
- Malformaciones intestinales.
- Déficits auditivos.
- Alteraciones de la glándula tiroides.
Además suelen presentar discapacidad intelectual, así como retrasos motrices y del lenguaje.
Pero también, están las otras características, menos conocidas, su capacidad de lucha, de esfuerzo y superación.

Existen tres variantes de este síndrome, de forma que puede presentarse una trisomía libre o simple (alrededor del 95% de los casos), translocación (3,5%) o en mosaico (1,5%).
Sabemos que la edad materna influye en la probabilidad de que nazca un niño con este síndrome, siendo la causa más demostrable, la genética solo incide en un 1% de los casos.
Hoy día, se puede diagnosticar antes del nacimiento gracias a las técnicas de diagnóstico prenatal; tales como la amniocentesis, la biopsia corial o los tests de ADN fetal en sangre materna.
En España se estima que hay unas 34.000 personas con síndrome de Down, y el 90% acceden a la escuela ordinaria, quedando atrás la idea de que no pueden desarrollar una vida normalizada. De igual modo, la esperanza de vida ha ido aumentando, de tal manera que en estos momentos superan los 60 años de vida.
Pero prepararse y afrontar la llegada de un bebé con síndrome de Down no es sencillo para los padres y madres, que viven su embarazo con la idea de que tendrán un niño «sano» al cual imaginan un futuro y una vida, que de pronto se ve cambiada. Los padres y madres han de atravesar un duelo por el bebé que esperaban y que no nació; las primeras preguntas y reacciones son una negación a la realidad, un shock ante la ruptura de sus expectativas que dará lugar a una acomodación y asimilación, para ello en muchas ocasiones es necesario contar con el apoyo de profesionales.
Recuerdo las palabras de una madre que me decía: que pasaron momentos duros, complicados, que tuvo su duelo de más de un año, pero que sin lugar a duda, pasaría nuevamente por todo lo que pasó para llegar a donde están. Porque tienen un niño con un DOwN extraordinario, que aunque en el momento en que nació y supieron que tenía un cromosoma extra, les dejó el mundo al revés, ahora el mundo es inimaginable sin él.
Recuerdo las palabras de una madre que me decía: que pasaron momentos duros, complicados, que tuvo su duelo de más de un año, pero que sin lugar a duda, pasaría nuevamente por todo lo que pasó para llegar a donde están. Porque tienen un niño con un DOwN extraordinario, que aunque en el momento en que nació y supieron que tenía un cromosoma extra, les dejó el mundo al revés, ahora el mundo es inimaginable sin él.
Gracias a las terapias físicas, psicológicas, de logopedia, pedagógicas, estas personas se desarrollan y se integran en la comunidad, dejando atrás la idea de que su cromosoma extra les impide llevar una vida lo más normalizada posible.

Hoy, 21 de marzo es el día de la concienciación sobre este síndrome, y tomando como lema la campaña de este año, reconozcámolos tal y como son, sin artificios, naturales, AUTÉNTICOS.
Este post, como cada año, lanza un abrazo a todas las familias que tienen entre ellos una persona con síndrome de Down, y en mi mente están presentes Manu, Lorena, Pablo e Icía, una familia Auténtica y extraordinaria, que me ha honrado con el privilegio de ver su fuerza desde casi el primer momento en que Manu llegó a este lado de la vida.
Para saber más:
Jesica Rodríguez Czaplicki
Psicóloga G2888
